GENERAL CHECK-UP

IDR 250.000


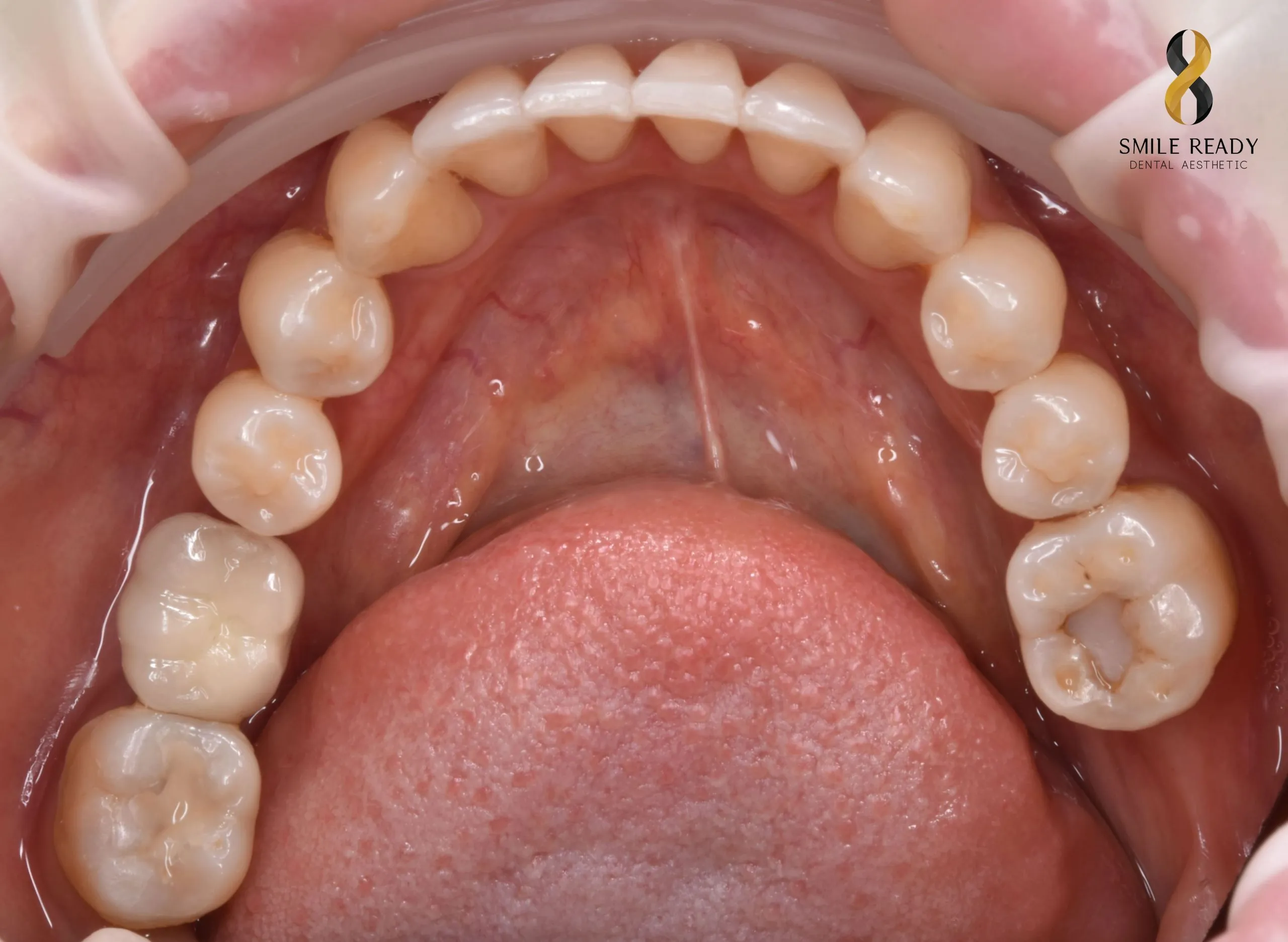
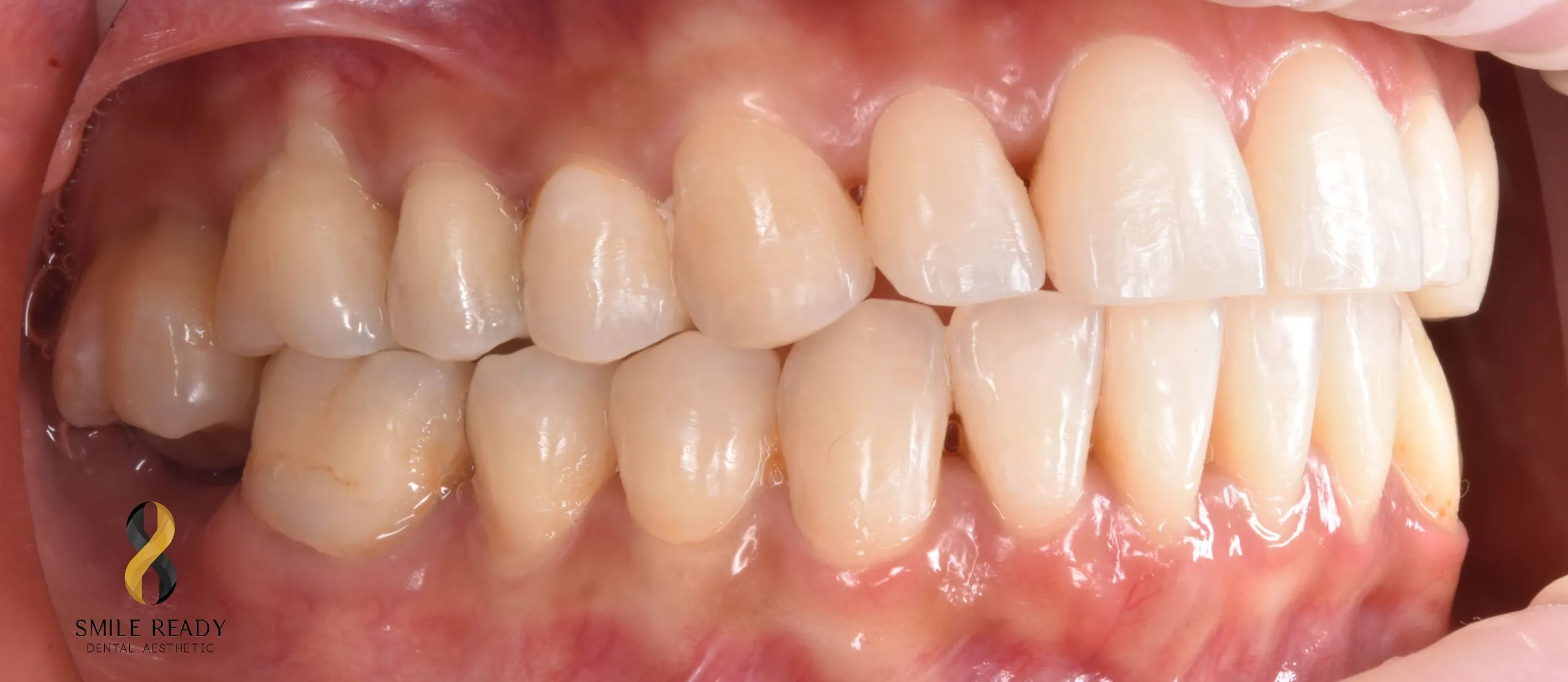
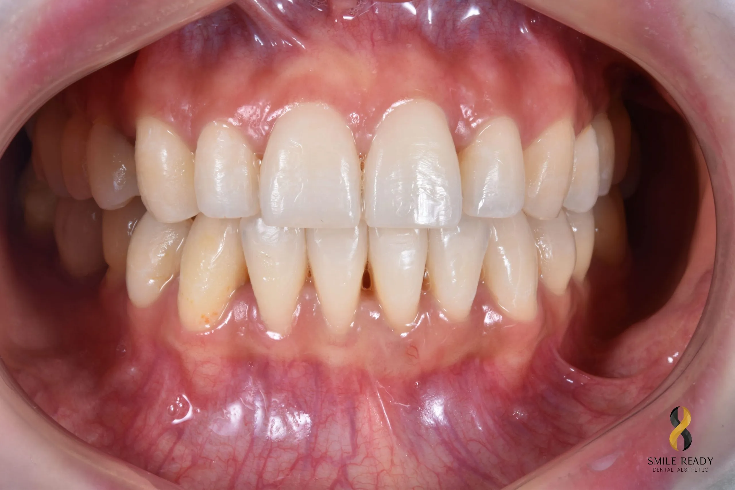
General dental check-up with dental photography.

Gallery