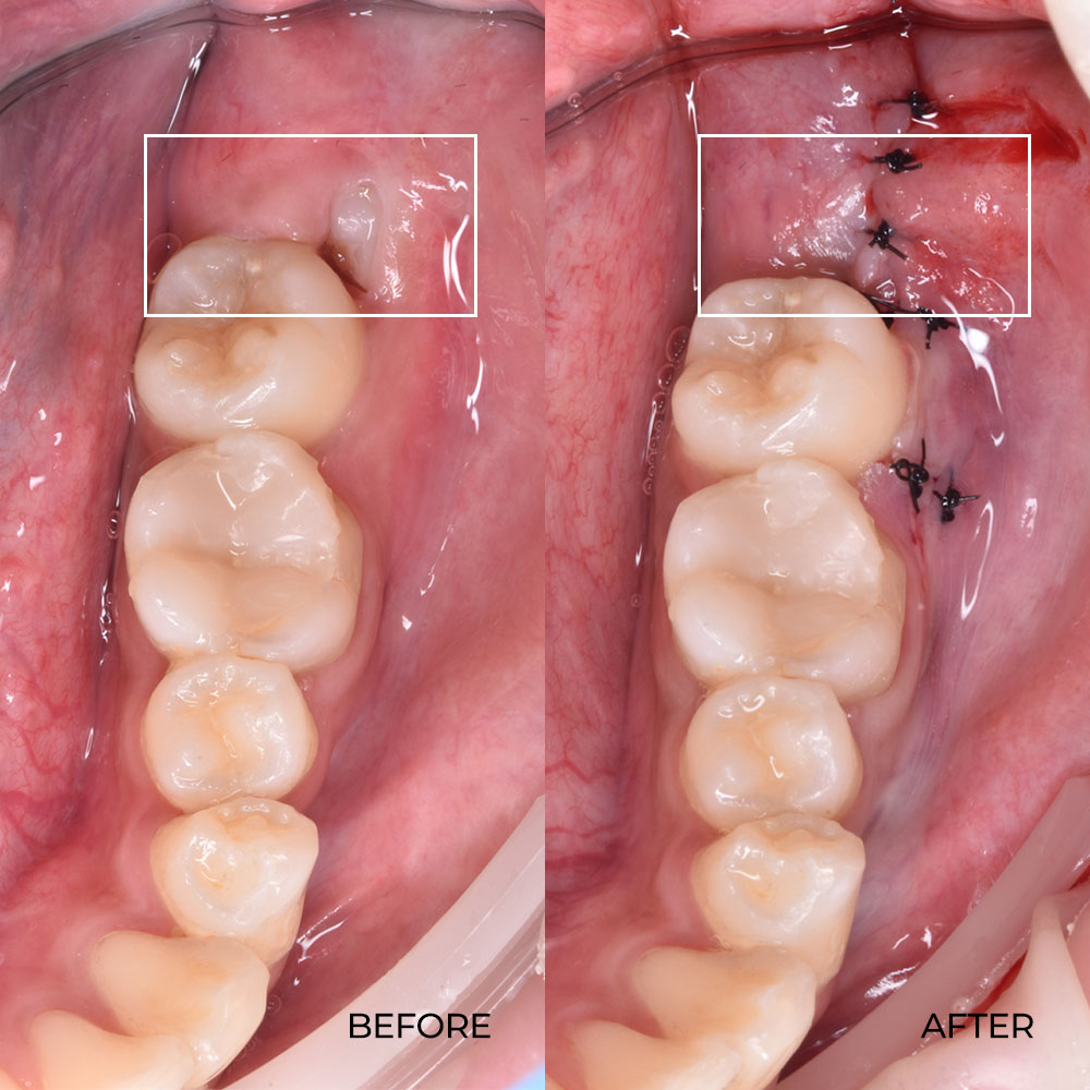
ODONTECTOMY

IDR 3.000.000 (Per Tooth)

Removal of impacted wisdom teeth (wisdom teeth that are stuck and unable to grow normally into the mouth) cause recurrent infections of the gum (pericoronitis)

Gallery